БАЗА изображений
журнала "Новости лучевой диагностики"

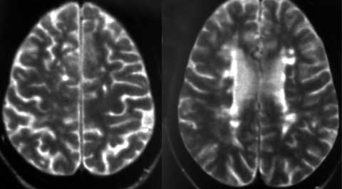
Оценка динамики активности ремиттирующего и прогрессирующего рассеянного склероза.
 
1 2 3

Рис. 2. Обширный атрофический процесс с расширением желудочковой системы, субарахноидальных пространств с очагами демиелинизации при вторично-прогрессирующем РС. (Слева) - полушария, (Справа) - ствол головного мозга.


 
Новости лучевой диагностики 2002 1-2: 36-37