БАЗА изображений
журнала "Новости лучевой диагностики"

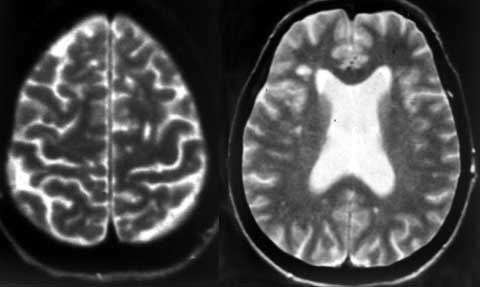
Оценка динамики активности ремиттирующего и прогрессирующего рассеянного склероза.
 
1 2 3

Рис. 1. Очаги демиелинизации в полушариях (слева) и стволе (справа) головного мозга с повышением и снижением интенсивности сигнала при ремиттирующий РС.


 
Новости лучевой диагностики 2002 1-2: 36-37