БАЗА изображений
"Новостей лучевой диагностики"

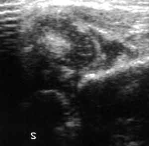
Ультразвуковая диагностика дисплазии тазобедренных суставов.
 
2 3 5 6 7 8

Рис. 7. Ультразвуковое изображение (Слева) и схема (Справа) подвывиха сустава. Головка бедренной кости расположена эксцентрично. При подвывихе и вывихе бедра угол альфа < 43о, а угол бетта > 77о.
 
 
Новости лучевой диагностики 1998 2: 19-21