БАЗА изображений
"Новостей лучевой диагностики"

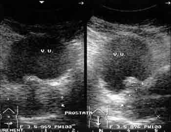
Ультразвуковая диагностика заболеваний предстательной железы.
 
Схема 1 2 4

Рис. 1. Аденоматозные узлы, оттесняющие стенку мочевого пузыря.


 
Новости лучевой диагностики 1999 1: 11-14