БАЗА изображений
журнала "Новости лучевой диагностики"

Лучевая диагностика заболеваний гортани.
 
1 2 3

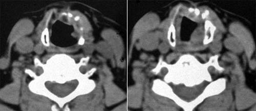
Рис. 3. Компьютерная томограмма больной с посттравматичекой рубцовой деформацией гортани.


 
Новости лучевой диагностики 2002 1-2: 30-31