БАЗА изображений
журнала "Новости лучевой диагностики"

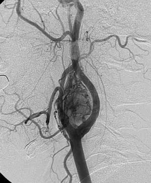
Ангиография в диагностике и лечении параганглиом области головы и шеи.
 
1 2 3

Рис. 1. В области бифуркации левой общей сонной артерии определяется гиперваскулярная опухоль с девиацией сонных артерий - каротидная параганглиома.


 
Новости лучевой диагностики 2002 1-2: 24-25