БАЗА изображений
"Новостей лучевой диагностики"

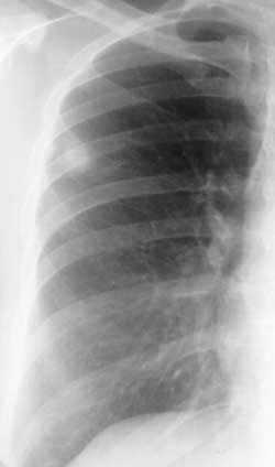
Лучевая диагностика периферического рака легкого.
 
1 2 3 4 7 9 10

Рис. 4. Аденокарциома. Интенсивная, однородная тень с четкими бугристыми, "лучистыми" контурами и тяжем к плевре.


 
Новости лучевой диагностики 2001 1-2: 4-10