БАЗА изображений
"Новостей лучевой диагностики"

SIEMENS: Вольюм зум - будущее крупным планом.
 
1 2 3 4

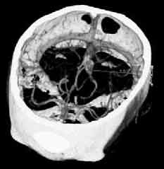
Рис. 3. Визуализация сосудов основания черепа в трехмерном изображении.


 
Новости лучевой диагностики 2001 1-2