БАЗА изображений
"Новостей лучевой диагностики"

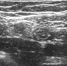
УЗИ в диагностике аппендицита.
 
1 и 4 3 и 5 6 и 7 8

Рис. 6 и 7. (Слева) Воспаленный аппендикс в продольном сечении. Положение датчика косое. (Справа) Поперечное сканирование воспаленного изогнутого (на снимке дважды видно поперечное сечение) аппендикса.
 
 
Новости лучевой диагностики 2001 1-2: 65-67