БАЗА изображений
"Новостей лучевой диагностики"

Ультразвуковое исследование в диагностике рака желудка.
 
1 2 3 4

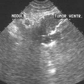
Рис. 2. Рак желудка. Метастазы в пригастральных лимфоузлах.


 
Новости лучевой диагностики 2001 1-2: 37-39