БАЗА изображений
"Новостей лучевой диагностики"

Приоритеты использования метода компьютерной томографии в диагностике заболеваний органов грудной клетки.
 
1 2 4 5

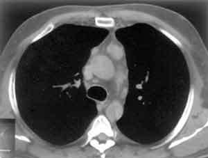
Рис. 2. Преваскулярные лимфоузлы.


 
Новости лучевой диагностики 2000 1: 20-22