БАЗА изображений
"Новостей лучевой диагностики"

Алгоритм обследования больных с энтеро- и колостомами.
 
3 4 5

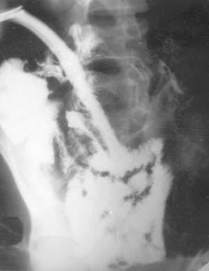
Рис. 4. Дистальная постстомальная энтерография при петлевой еюностоме. Контрастированы подвздошная кишка, илеоцекальный переход и слепая кишка.


 
Новости лучевой диагностики 2000 1: 4-7