БАЗА изображений
"Новостей лучевой диагностики"

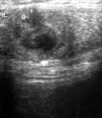
Абсцесс передней брюшной стенки.
 
1 2 3

Рис. 1. Передняя брюшная стенка при продольном сканировании. Лоцируется участок пониженной эхогенности 11 мм в диаметре.


 
Новости лучевой диагностики 2000 1: 30-31