На главную страницу
На главную

 
 
О журнале Архив Содержание

(Новости лучевой диагностики 1998 5: 24-26)

Продолжение. Читайте начало в номере 4 за 1998 год.

РКТ- и МРТ-диагностика осложнений и последствий черепно-мозговых травм.

Булаев И. В., Корытько С. С.

Клиника НИИ радиационной медицины.

Эпидуральные гематомы (Таблица 1, Рис. 1).

Определение: скопление крови в полости черепа между твердой мозговой оболочкой и внутренней пластинкой костей черепа.

Частота: встречается в 2% всех повреждений черепа; в менее чем 1% встречается у всех детей с ЧМТ; редко у младенцев. Связаны с переломами костей черепа в 40-85%.

Механизм:
а) разрывы оболочечных артерий или вен; прилежащих к внутренней кортикальной пластинке в связи с переломом костей черепа (91%);
б) отрыв венозных сосудов в проекции их прободения через кости свода черепа;
в) разрывы синусов твердой мозговой оболочки (наиболее частая причина у маленьких детей)

Типы эпидуральных гематом:
— острая эпидуральная гематома (58%) из-за артериального кровотечения; — подострая гематома (31%);
— хроническая гематома (11%) из-за венозного кровотечения.

Локализация:
а) в 66% височно-теменные (наиболее часто из-за разрыва средней оболочечной артерии); б) в 29% — у полюса лобной доли, в теменно-затылочной области, между затылочными долями, в задней черепной ямке (наиболее часто из-за разрыва венозных синусов).

Таблица 1. Характеристика эпидуральных гематом в зависимости от стадии их организации.
 
РКТ  МРТ
• линия перелома костей свода и основания черепа в области ЭГ; 
• наиболее часто образование эллипсовидной (двояковыпуклой) формы; 
• высокая плотность в острой стадии (60-90 ЕН); 
• масс-эффект со сглаженностью прилежащих субарахноидальных пространств и сдавлением прилежащих извилин от: 
а) эпидуральной гематомы (57%) 
б) геморрагическое пропитывание (29%) 
в) отек-набухание головного мозга (14%) 
• отслоение (отрыв) венозных синусов и серповидной связки от внутренней пластинки костей черепа (только кровоизлияния смещают серповидную связку или венозные синусы от внутренней костной пластинки);
• признаки повреждения артериальных сосудов (редко): постконтрастное усиление (истечение контраста); артерио-венозный свищ; закупорка средней оболочечной артерии; образование ложной аневризмы;
• организация подоболочечных кровоизлияний в подострой и хронической стадиях проходит те же 
этапы, что и внутричерепные кровоизлияния.
• наиболее часто образование эллипсовидной (двояковыпуклой линзообразной) формы; 
• масс-эффект со сглаженностью прилежащих субарахноидальных пространств и сдавлением прилежащих участков вещества головного мозга; 
• в зависимости от стадии организации гематомы она имеет соответствующие сигнальные характеристики (проходит те же стадии что и внутримозговые гематомы); 
• организация подоболочечных кровоизлияний в подострой и хронической стадиях проходит те же этапы, что и внутричерепные кровоизлияния. 

 
Увеличить
 
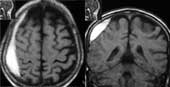
Рис. 1. Эпидуральная гематома в проекции передне-верхних отделов передней черепной ямки слева. Подострая стадия. Т2 режим. 

Субдурапьные гематомы (Таблица 2, Рис. 2).

Определение: это скопление крови между твердой мозговой оболочкой и веществом головного мозга.

Частота: встречается в 5% случаев всех ЧМТ.

Возраст: преимущественно у младенцев и пожилых людей.

Патогенез: наиболее часто в связи с венозным кровотечением из субдуральных вен, которые связывают кору больших полушарий с венозными синусами и пространством между твердой мозговой оболочкой и паутинной оболочкой; разрывы вен в местах прикрепления к синусам.

Локализация: пространство между твердой и мягкой мозговыми оболочками.

Таблица 2. Характеристика субдуральных гематом в зависимости от стадии их организации.
 
РКТ МРТ
1. Острый период.
• периферическая полулунной формы гомогенная зона располагающаяся между костями черепа и веществом 
г/мозга обычно с: 
а) вогнутой внутренней границей (гематома минимально давит на вещество г/мозга); 
б) выпуклая наружная граница повторяющая нормальный контур свода черепа; 
• гиперденсивная (менее 1 недели) изоденсивная (1-3 недели) или гиподенсивная (3-4 недели) зона; 
• иногда просматривается уровень раздела кровь-жидкость; 
• отсутствие визуализации может быть в следующих случаях: 
а) высокая конвекситальная локализация; 
б) при выраженных артефактах от костных структур; 
в) в изоденсивной стадии организации (10-20 дни). 
В остром периоде характеристики интенсивности сигнала такие же, как при эпидуральных гематомах. 
2. Подострый период (Рис. 2).
• изоденсивный очаг (1-3 недели) может быть обнаружен по косвенным признакам (масс-эффект + сглаженность прилежащих субарахноидальных пространств + смещение и сдавление боковых желудочков + смещение срединных структур + деформация подкорко-корковых участков в-ва 
г/мозга; 
• постконтрастное усиление вдоль внутренней границы очага. 
• наиболее чувствительная методика в этом периоде из-за высокой чувствительности Т-1 режима к продуктам организации крови (метгемоглобин); 
• позволяет четко различить суб- и эпидуральные гематомы за счет выявления (при эпидуральных гематомах) по периферии выражение гипоинтенсивного ободка (твердая мозговая оболочка); 
• те же косвенные признаки что и при РКТ. 
3. Хроническая стадия организации гематомы.
Редко связана с поражением вещества г/мозга. Гематома покрывается толстой хорошо васкуляризированной мембраной образующейся через 3-6 недель 
• полулунной формы очаг повторяющий конфигурацию конвекситальной поверхности г/мозга (в более ранних
стадиях); 
• обычно двояковыпуклый (линзообразный) очаг (в более поздних стадиях) особенно после образования фиброзной 
перегородки; 
• очаг имеет низкую плотность, иногда ликвороподобную; 
• иногда в проекции очага встречаются участки повышенной плотности (как результат повторных кровоизлияний); 
• признаки масс-эффекта; 
• при двухсторонних очагах отсутствует смещение срединных структур (25% случаев); 
• на постконтрастных изображениях можно обнаружить медиальное смещение кортикальных сосудов и оболочки вокруг гематомы (через 1-4 недели после поражения).
МРТ является наиболее предпочтительным методом исследования в этой стадии; 
• выявляется двояковыпуклый (иногда полулунной формы) гомогенный очаг дающий в Т-2 режиме выражение гиперинтенсивный сигнал, а в Т-1 режиме умеренно или выражение гипоинтенсивный сигнал (в зависимости от содержимого); 
• косвенные признаки те же, что и в предыдущих стадиях и при РКТ. 

 
Увеличить
 
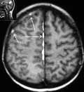
Рис. 2. Субдуральная гематома в проекции верхне-латеральных отделов правой лобно-теменной области. Подострая стадия. Т1 режим

Острая субдуральная гематома.

Обычно сопровождает тяжелые ЧМТ, проявляя себя в первые часы после травмы. В 50% случаев связана с очаговым поражением вещества г/мозга и в 1% с переломами костей черепа.

Локализация: вдоль конвекситальной поверхности полушарий часто распространяясь в межполушарную щель вдоль намета мозжечка под височными или затылочными долями; двухсторонние в 15-25% у взрослых (чаще у пожилых) и в 80-85% у младенцев. Приблизительно в 38% небольшие субдуральные гематомы не обнаруживаются.

Посттравматические субарахноидальные кровоизлияния (Таблица 3, Рис. 3).

Сопутствуют ушибам мозга и являются следствием:
а) повреждения сосудов мягкой мозговой оболочки (чаще);
б) разрывов крупных внутримозговых сосудов (реже).

Локализация: очаги прилежащие к месту ушиба в поверхностных участках коры больших полушарий;
- межполушарная щель;
- диффузное распространение крови в субарахноидальных пространствах полости черепа (при травмах редко).

Осложнения:
а) острая обструктивная гидроцефалия (в сроки менее 1 недели) в результате внутрижелудочкового кровоизлияния и асептического воспаления эпендимы с обструкцией сильвиевого водопровода либо выходных отверстий 4 желудочка (Мажанди и Люшка);
б) коммуникативная гидроцефалия (развивается через 1 неделю и в более поздние сроки) как результат фибробластной пролиферации арахноидальных ворсинок в субарахноидальных пространствах;
в) спазм сосудов г/мозга с возможностью развития инфаркта (развивается либо через 72 часа либо между 5 и 17 днями);
г) вклинение стволовых структур в большое затылочное отверстие (большая гематома, гидроцефалия, обширный инфаркт, диффузный отек вещества головного мозга).

Таблица 3. Характеристика посттравматических субарахноидальных кровоизлияний.
 
РКТ МРТ
Точность диагностики — 60-90% в зависимости от времени исследования (наиболее высокая — на 4-5 день от начала заболевания);
• увеличение плотности в проекции цистерн основания мозга, верхней мозжечковой 
цистерны, сильвиевых щелях, субарахноидальных пространств и внутри желудочков;
• увеличение плотности в проекции межполушарной щели головного мозга с неправильной формы латеральными границами из-за распространения крови 
в проекцию субарахноидальных пространств медиальных поверхностей 
полушарий.
Сравнительно неинформативна в острой стадии. 

 
Увеличить
 
Рис. 3. Подострая стадия субарахноидального кровоизлияния - очаги организации крови (стрелки) в проекции межполушарных и конвекситальных субарахноидальных пространств. (Слева) Т1 режим. (Справа) Т2 режим.
Увеличить
 

Посттравматическая внутричерепная пневмоцефалия (Таблица 4).

В 74% случаев — как результат ЧМТ. Встречается в 3% всех переломов основания черепа; в 8% костей черепа с заинтересованностью околоносовых пазух. В 25% случаев выявляется сразу после черепно-мозговой травмы, обычно на 4-5 день. Иногда сохраняется до 6 месяцев (в 33%).

Осложнения:
а) ликворрея (в 50%);
б) менингиты, эмпиемы, абсцессы (в 25%);
в) экстракраниальная пневмоцефалия (скопление воздуха в подапоневротическом пространстве).

Таблица 4. Характеристика пневмоцефалии.
 
РКТ МРТ
Выявляются участки воздушной плотности в полости черепа.  Выявляются участки выраженной гипоинтенсивности сигнала во всех режимах.

Литература:

1. Большая медицинская энциклопедия / том 27 3-е издание, 1986 год, под ред. Б. В. Петровского.
2. Михайлов А. Н. / Рентгеносемиотика и диагностика болезней человека. Минск, Выш. шк. 1989 год.
3. Wolfgang Dahnert. Radiology Review Manual, second edition.
 

О журнале Архив Содержание