На главную страницу
На главную

 
 
О журнале Архив Содержание

(Новости лучевой диагностики 2002 1-2: 20-22)

Остеопоротические деформации и переломы позвоночника у больных ревматоидным артритом.

Курсевич В. В.1, Руденко Э. В.2, Филиппович Н.С.2, Стрельченя С. Н.2

1Минская областная клиническая больница, 2БелМАПО, Минск.

Остеопороз — мультифакториальное системное заболевание, характеризующееся прогрессирующим снижением костной массы и нарушением структуры костной ткани, приводящими к увеличению риска переломов костей скелета. Чрезвычайная распространенность остеопоротических переломов ставит остеопороз в число приоритетных проблем современной медицины. Согласно данным ВОЗ, проблема остеопороза как причина инвалидности и смертности больных от переломов костей занимает четвертое место в мире среди неинфекционных заболеваний, уступая болезням сердечно-сосудистой системы, онкопатологии и сахарному диабету. Остеопороз выявлен у 75 миллионов человек в США, странах Европы и Японии вместе взятых. Большой интерес вызывает изучение его при ревматоидном артрите (РА). Одним из классических признаков остеопороза позвоночника у больных ревматоидным артритом являются переломы (деформация) тел позвонков. Клинически переломы тел позвонков проявляются в виде боли в спине, снижении роста, изменения осанки. Боль в спине может носить острый характер в момент возникновения перелома и иррадиировать в грудную клетку, брюшную полость, бедро, усиливаться при минимальном движении, длиться 1–2 недели и затем постепенно стихать в течение 2–3 месяцев. Другим вариантом являются длительные хронические боли в спине, усиливающиеся после вынужденного пребывания в одном положении или ходьбе.

Материалы и методы.

Целью нашего исследования явился анализ частоты и факторов риска развития остеопороза и деформаций тел позвонков у больных с достоверным диагнозом РА, который верифицировался согласно критериям Американской коллегии ревматологов. В исследование было включено 80 человек, находившихся на стационарном лечении в ревматологическом отделении Минской областной клинической больницы. Данные о больных представлены в Таблице 1.

Таблица 1. Общая характеристика больных, включенных в исследование.

  Женщины Мужчины
Всего больных 67 (83,8%) 13 (16,2%)
Средний возраст 53,2+/-10,4 41,1+/-13,8
Диапазон возраста от 22 до 73 от 23 до 70
Средняя длительность болезни, лет 7,7+/-0,2 2,7+/-0,3

Степень активности РА:
-1-ая
- 2-ая
- 3-ая


9 (11,3%)
54 (67,5%)
17 (21,3%)

Ревматоидный фактор:
- серопозитивный
- серонегативный


45 (58,3%)
35 (46,8%)

В зависимости от того, принимали ли больные глюкокортикостероиды, группа была разделена на две подгруппы:
• 1-я — больные РА не принимали ГКС;
• 2-я — больные РА принимали ГКС в течение различных сроков.

Характеристика больных приведена в Таблице 2.

Таблица 2. Характеристика больных РА в зависимости от приема ГКС.

  Женщины Мужчины
1-ая группа    
Всего больных 39 (86,7%) 8 (13,3%)
Средний возраст 50,9+/-10,1 44,5+/-12,5
Диапазон возраста от 22 до 70 от 23 до 65
Средняя длительность болезни, лет 2,5+/-11,0 0,8+/-3,5
2-ая группа    
Всего больных 28 (80%) 7 (20%)
Средний возраст 58,5+/-9,7 47,4+/-13,7
Диапазон возраста от 42 до 73 от 23 до 70
Средняя длительность болезни, лет 10,4+/-7,9 3,5+/-2,7
Средняя длительность приема преднизолона, мес. 19,4+/-18,3 11,6+/-10,9
Средняя поддерживающая доза преднизолона, мг/сутки 12,2+/-4,3 10,4+/-2,8

У всех больных была изучена частота ренгенологически определяемых деформаций тел позвонков методом рентгеноморфометрии, при этом производилось измерение высоты тел позвонков на обычных спондилограммах, выполненных в боковой проекции.

На боковых спондилограммах грудного и поясничного отделов, выполненных с соблюдением ряда требований (фокусное расстояние 120 см, центрация на ThIV в грудной части и на LII-III в поясничном отделе, устранение сколиотической деформации, возникающей при укладке пациента), производили разметку и измерения, по которым определяли вертикальные размеры (высота h) передних (А), средних (М) и задних (Р) отделов тел от уровня четвертого грудного до четвертого поясничного позвонков. Для исключения влияния на полученные данные проекционных особенностей исследования, возраста, пола и роста пациента вычисляли отношения полученных величин — индексы тел позвонков: передне-задний (hА/hР), средне-задний (hМ/hР) и задне-задний (hР/hРn — отношение реального размера заднего края к его величине в норме.) Полученные значения индексов сопоставляли с их средними статистическими величинами в норме с учетом пола, возраста и особенностей популяции.

В зависимости от соотношения измеренных параметров выделяли следующие виды деформаций (Рис. 1):

Рис. 1. Виды деформации тел позвонков.

1. Передняя клиновидная деформация — снижение высоты передних и в меньшей степени средних отделов (наибольшее уменьшение hА/hР, менее выраженное hМ/hР и неизмененное значение hР/hРn).

2. Двояковогнутая деформация — или деформация по типу «рыбьих позвонков» — снижение центральных отделов позвонков (hА/hР и hP/hPn не изменены, уменьшен hМ/hР) (Рис. 2).


[Увеличить]

Рис. 2. Двояковогнутая деформация LIV.

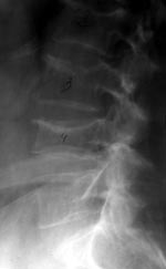
3. Задняя клиновидная деформация — уменьшение преимущественно задних отделов тел (снижение hP/hPn и некоторое увелиычение значений hА/hР и hМ/hР) (Рис. 3).


[Увеличить]

Рис. 3. Компрессионная деформация LI .

4. Компрессионная деформация — относительно равномерное снижение высоты всего тела.

Наиболее простым и легко применимым способом оценки степени деформации является метод, описанный Д.Фелсенбергом. Согласно этому методу, деформация позвонка определяется при снижении какого-либо индекса более чем на 25%. Для передней клиновидной или двояковогнутой деформации это означает снижение передней или, соответственно, средней высоты тела позвонка более чем на одну четверть по отношению к задней высоте того же позвонка. Компрессионная деформация характеризуется снижением более чем на четверть задней высоты рассматриваемого позвонка к задней высоте любого из двух вышележащих или двух нижележащих позвонков.
0 — деформация отсутствует, если hM/hP і 85%.
1-я степень деформации, если hM/hP < 85% и > 80%.
2-я степень деформации, если hM/hP < 80% и > 75%.
3.1 степень деформации — компрессионный перелом, если hM/hP < 75%.
3.2 степень деформации — клиновидная деформация, если hA/hP < 75% для ThIV-LIII и если hA/hP < 85% для LIV.
4-я степень деформации — «краш-перелом».

Результаты исследования и обсуждение.

Рентгеноморфометрический анализ спондилограмм грудного и поясничного отделов позвоночника у больных 1-й группы не выявил переломов тел позвонков. В то же время выявлены деформации одного позвонка у 9 (20,0%), двух — у 13 (28,9%), трех — у 4 (8,9%), четырех — у 3 (6,7%) человек. У двух (4,4%) пациентов отсутствовали рентгенологические данные. У 14 (31,1%) больных не было выявлено деформаций.

Во 2-й группе переломы были выявлены у 10 (28,6%) пациентов. Всего было отмечено 14 переломов позвонков: у 6 (17,1%) человек — по одному позвонку и у 4 (11,4%) — по два позвонка. Деформации одного позвонка были выявлено всего у 2 (5,7%) больных, двух позвонков — у 12 (34,4%), трех — у 13 (37,1%), четырех — у 5 (14,3%), пяти — у 1 (2,9%). Деформации 1-ой степени определялись в 42 исследованных позвонках, деформации 2-ой степени — в 48 позвонках. При этом преобладали клиновидные деформации.

Средний возраст больных, у которых определялись переломы тел позвонков, составил 59,4±11,1 года и статистически значимо не отличался от возраста больных без переломов (52,8±10,7 года). Но средняя длительность заболевания у больных с переломами (12,6±9,7 лет) достаточно сильно отличалась от длительности заболевания больных без переломов (7,4±6,1 года). Отличалась также длительность приема ГКС у больных с переломами тел позвонков — 29,7 мес. против 12,8 мес. у больных, не принимавших ГКС. Средняя поддерживающая доза у больных с переломами и без них отличались незначительно (13,8 мг/сутки против 11,1 мг/сутки).

При анализе зависимости количества переломов тел позвонков от продолжительности приема ГКС, поддерживающей и суммарной дозы преднизолона была выявлено, что у больных с переломами двух позвонков средняя поддерживающая и суммарная доза преднизолона была выше (Таблица 3).

Таблица 3. Длительность приема и доза ГКС у больных РА в зависимости от количества переломов тел позвонков.

  Длительность приема ГКС, мес. Средняя поддерживающая доза преднизолона, мг/сутки Суммарная доза, мг

Перелом одного позвонка:
- количество пациентов - 8
- средний возраст - 60,0 лет
- средняя длитьельность заболевания - 2,0 года

32,5+/-18,5 11,3+/-2,8 11939+/-9565
Перелом двух позвонков:
- количество пациентов - 4
- средний возраст - 58,5 лет
- средняя длитьельность заболевания - 2,0 года
25,5+/-13,7 17,8+/-4,3 13688+/-9097

Выводы.

1. Частота выявленных деформаций тел позвонков и переломов статистически достоверно выше у больных РА, принимающих ГКС (28,6%).
2. Наблюдается зависимость количества переломов тел позвонков от суммарной дозы преднизолона и средней поддерживающей дозы препарата.
3. По данным рентгеноморфометрии существенных различий в частоте деформаций тел позвонков у мужчин и женщин, принимающих ГКС, не наблюдалось. Однако переломы тел позвонков были зарегистрированы исключительно у женщин.
4. У больных с переломами тел позвонков, принимавших ГКС, отмечалась большая длительность приема преднизолона: 29,7 мес. против 12,8 мес. у больных, не принимавших ГКС. Средняя поддерживающая доза у больных с переломами и без них отличалась незначительно.
5. Длительность заболевания РА — один из факторов развития остеопоротических переломов.


О журнале Архив Содержание