На главную страницу
На главную

 
 
О журнале Архив Содержание

(Новости лучевой диагностики 2002 1-2: 40-41)

Применение компьютерной томографии в диагностике ранений заднего полюса глазного яблока.

Имшенецкая Т. А.1, Никитина Л. И.2

1Белорусский медицинский университет, 2ГУ «Республиканская больница» УД Президента РБ.

Проникающие ранения глазного яблока с внедрением внутрь глаза инородных тел, составляющие 10-40% всех повреждений органа зрения, являются одной из серьезных причин, как кратковременной, так и длительной потери зрения [1]. Окончательный функциональный результат, по мнению большинства авторов, в значительной степени зависит от первоначальной травмы глаза: имеет значение обширность повреждения внутриглазных структур, преимущественно сетчатки, степень тканевой контузии и объем внутриглазного кровоизлияния [2, 3, 5, 6, 9].

Наибольшие диагностические проблемы возникают при попадании инородных тел в область заднего полюса и при наличии сквозных ранений глазного яблока. Наилучшим способом диагностики внутриглазного инородного тела (ВИТ) является непосредственная визуализация его с использованием биомикроскопии и непрямой офтальмоскопии, но даже в ситуации, когда ВИТ хорошо офтальмоскопируется, возникает необходимость в дополнительных методах обследования с целью исключения наличия множественных инородных тел [8] и выявления сопутствующих повреждений. Для уточнения локализации инородных тел используется компьютерная осевая томография. Рентгеновская компьютерная томография является стандартной методикой для обследования глаз после проникающей глазной травмы [4, 7]. Достоинствами метода является высокая информативность о взаимоотношении инородного тела и внутриглазных структур, быстрота и безболезненность исследования, возможность проведения его в ранние сроки после травмы, выявление рентгенонепрозрачных инородных тел (стекло, пластмасса, дерево и др.).

Материал и методы исследования.

Для уточнения локализации инородных тел при осложненных ранениях глаз нами применяется компьютерная томография. Исследование было проведено 72 больным, из них у 15 были установлены сквозные ранения глазного яблока; у 54 больных инородные тела локализовались в оболочках заднего полюса глаза. Сроки поступления больных в Республиканский Центр реконструктивной микрохирургии глаза варьировали от 1–2 месяцев — 26 больных; 3-6 месяцев — 17 больных; 1 год — 7 больных; 2 года — 2 больных; 4 года — 1 больной, 14 лет — 1 больной. Причинами столь позднего обращения к нам пациентов с внутриглазными инородными телами были следующими: 1) отсутствие возможности проведения рентгеновской компьютерной томографии перед проведением первичной хирургической обработки; 2) недостаточное техническое оснащение операционной; 3) отсутствие витреоретинального хирурга при первичной хирургической обработке; 4) неправильное определение магнитных свойств внутриглазного инородного тела. До операции все больные обследовались по общепринятой схеме с обязательным проведением рентгеновской компьютерной томографии, ультразвукового сканирования. Рентгеновская компьютерная томография нами применена у всех 54 больных с локализацией ВИТ в оболочках заднего полюса (Рис. 1). Использовали компьютерный томограф “Somatom-DR-H“ фирмы “Simens“. Основные технические характеристики: матрица 512х512, толщина среза 2–4 мм, время сканирования 7 с, количество срезов 10–15. Сканирование проводили в аксиальной плоскости под углом 12–15°. Для более прицельного изучения структур орбиты, их дифференциации, изображение интересующей зоны увеличивали в 2–4 раза. На основании полученных данных широко использовали реконструкции изображения в различных заданных плоскостях для получения наибольшего объема информации. Анализировались состояние костных стенок орбиты, мышц глаза, зрительного нерва, величина и форма глазного яблока. Для определения плотности инородного тела использовали шкалу Хаунсфилда.


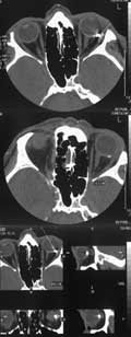
[Увеличить]

Рис. 1. Компьютерная томограмма. Инородное тело в оболочках заднего полюса глазного яблока.

Для диагностики сквозных ранений глазного яблока (15 больных) использовали компьютерный томограф фирмы “Philips Tomoscan AV“. Основные технические характеристики: матрица 512х512, толщина среза 2–3 мм, время сканирования 1–2 с, количество срезов 10–15. Сканирование проводили в аксиальной или фронтальной плоскости. Применение мультипланарных реконструкций позволило определить точную локализацию инородного тела по отношению к структурам орбиты, его взаимоотношение с оболочками глазного яблока (Рис. 2).


[Увеличить]

Рис. 2. Применение мультипланарных реконструкций позволяет определить точную локализацию инородного тела по отношению к структурам орбиты, его взаимоотношение с оболочками глазного яблока.

Результаты и обсуждение.

Локализация инородных тел при сквозных ранениях по данным КТ была следующей: все инородные тела (15) локализовались за глазным яблоком. Со свежим проникающим ранением было 2 больных, у остальных — после травмы прошло от 1 до 2 месяцев. Сопутствующие изменения стекловидного тела по типу травматического гемофтальма имели место у 20 больных; повреждения хрусталика выявлены у 25 больных; отслойка сетчатки обнаружена у 15 больных; афакия — у 6 больных, помутнения хрусталика были выявлены у 14 больных. Природа инородных тел была установлена у 31 больного: у 11 — магнитные инородные тела; у 20 — амагнитные. Признаки металлоза были выявлены у 5 больных. У 26 больных с инородными телами, локализующимися в оболочках заднего полюса, инородные тела были извлечены трансвитреально после предварительно проведенной барьерной лазерной коагуляции сетчатки; у 5 больных с несостоявшимися сквозными ранениями инородные тела были удалены диасклерально, у 2-х больных инородные тела были извлечены из орбиты. У 23 больных инородные тела были расположены большей частью субретинально и оперативное вмешательство ограничивалось только проведением закрытой витреоэктомии и эндофотокоагуляции диодным лазером вокруг места залегания инородного тела. В результате проведенного хирургического лечения зрительные функции повысились у 66 больных (91,7%).

Выводы.

Таким образом, рентгеновская компьютерная томография является обязательным методом исследования для больных со сквозными ранениями глазного яблока и при локализации внутриглазных инородных тел в оболочках заднего полюса. Применение данной методики позволяет определить наиболее рациональную тактику хирургического лечения, способствует сохранению высоких зрительных функций, позволяет уменьшить количество таких грозных осложнений, как отслойка сетчатки.

Литература.

  1. Гундорова Р. А., Малаев А. А., Южаков А. М. Травмы глаз. - М.: Медицина, 1986. - 385 с.
  2. Гундорова Р. А., Степанов А. В., Иванов А. Н. Новый подход к вопросу сохранения инородных тел, вколоченных в задний полюс глазного яблока // Тезисы докладов 7 Съезда офтальмологов России. - Часть 2. - с. 70-71.
  3. Ahmadieh H., Sajjadi H., Azarmina M., et al. Surgical management of intraocular foreign bodies // Retina. - 1994. - Vol. 14. - P.397–403.
  4. Coleman D. J., Rondeau M. J. Diagnostic imaging of ocular and orbital trauma // In: Shingelton B. J., Hersh P. S., Keynyon K. R., eds. Eye trauma, St Louis: Mosby–Year Book. - 1991.
  5. Karel I., Diblik P. Management of posterior segment foreign bodies and longterm results // European J Ophthalmology. - 1995. - N 2. - P.113–118.
  6. Khani S. C., Mukai S Posterior segment intraocular foreign bodies // Int. Ophthalmol Clin. - 1995. - Vol. 35. - P.151–161.
  7. Mieler W. F., Ellis M. K., Williams D. F., Han D. P. Retained intraocular foreign bodies and endophthalmitis // Ophthalmology. - 1990. - Vol. 97. - P. 1532–1538.
  8. Percival S.P.B. A decade of intraocular foreign bodies //Br. J Ophthalmol. - 1972 - Vol. 56. - P. 454–461.
  9. Williams D. F., Mieier W. F., Abrams G. W., Lewis H. Results and prognostic factors in penetrating ocular injuries with retained intraocular foreign bodies // Ophthalmology. - 1988. - Vol. 95. - P.911–916.

О журнале Архив Содержание